Gulf Coast Veterinary Specialists (GCVS)

Category:

Feline Lower Airway Disease with Tree-in-Bud Appearance on Radiographs and Computed Tomography
Diagnostic Imaging
A 12-year-old male neutered domestic short hair presented for general screening prior to undergoing general anesthesia for an annual dental cleaning, and to re-evaluate a small soft tissue to mineral opaque pulmonary nodule noted in the left 5th intercostal space on thoracic radiographs obtained 5 months prior (encircled in green on the ventrodorsal view below).

Acute Cervical Spinal Cord Infarction (FCE) in a St. Bernard
Diagnostic Imaging
A 4-year-old, male, neutered St. Bernard presented to a local emergency hospital for acute right thoracic limb lameness and was unable to place weight on the affected leg.

Metronidazole Toxicity in a Bearded Dragon
Avian & Exotics
A 4-year-old female intact bearded dragon (Pogona vitticeps) presented on emergency to the Avian & Exotics department at GCVS for acute onset of severe neurologic signs a few hours prior to presentation.

Stifle Arthroscopic TPLO in 6-year-old castrated Labrador Retriever
Surgery
One-month history of left hindlimb lameness (grade IV/V) with acute onset. The patient had a history of intermittent forelimb lameness that would resolve after 1-2 days of rest.

Immune-Mediated Polyarthritis
Internal Medicine
Signalment: 5 year old, female intact German Shepherd mix History: Ahsoka was transferred to the …

Heat Stroke
Critical Care
Archie, a 1-year 2-month-old male intact Goldendoodle weighing 12.8 kg, presented to Gulf Coast Veterinary Specialist Emergency Services after suffering from heat stroke at a pet sitting service.

ASA Physical Status Classification System
Anesthesia
The ASA Physical Classification System has been in use in human medicine for over 60 years. The classification system has been adapted for veterinary patients.

Patent Ductus Arteriosus
Diagnostic Imaging
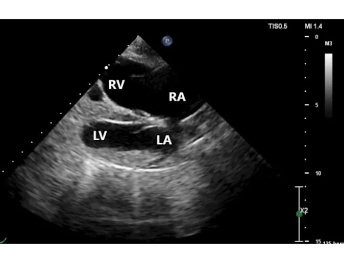
The patient presented to the GCVS Cardiology Service for evaluation of a heart murmur heard at a veterinary visit as a young puppy. No clinical signs at home.

Louie: Vision Restoring Surgery for Absolute Keratoconjunctivitis sicca.
Ophthalmology
In June 2022, sweet Louie was found by a canine rescue organization and noticed to have crusted scabs across both eyes.

Using a Freestyle Libre to monitor Oliver’s diabetes mellitus at home
Internal Medicine
Oliver was diagnosed with diabetes mellitus and was started on insulin therapy (Humulin N 3 units twice daily).

Cardiac Changes and Congestive Heart Failure Secondary to Chagas Disease
Diagnostic Imaging
The patient presented to GCVS Internal Medicine Service for evaluation of ascites.

Lucy: Correcting Congenital Ectopic Ureters
Internal Medicine
Lucy, a 5 month old female Corgi presented to me for constant urinary incontinence.

Anesthetic Hypotension
Anesthesia
Anesthetic hypotension is the most encountered peri anesthetic complication observed in veterinary medicine.

Duke: Necrotizing Fasciitis
Surgery
Duke was neutered by his primary care veterinarian and had a testicle that was in the inguinal canal that had not fully descended.

Leo Lambchop: Canine Lobular Orbital Adenoma
Ophthalmology
Leo Lambchop presented to the GCVS ophthalmology service for an initial examination of a 6- month duration of a mass under the left eye.

Storm, a multicentric lymphoma survivor!
Medical Oncology
Storm, a 10 year old Australian Shepherd mix, presented to GCVS on 5/22/2019 for further evaluation of recently diagnosed multicentric lymphoma.

Franki: Gunshot Case
Surgery
Franki was out on a walk with her owner when she was shot by a hunting rifle from approximately 100 yards away.

Glaucoma and Cataracts
Ophthalmology
Sam presented to the Gulf Coast Veterinary Specialists Ophthalmology service for evaluation of a cataract in his right eye.


